頸椎滑脫 之定義、原因、症狀、建議、治療 – 松山景能物理治療所

頸椎滑脫 定義
頸椎滑脫 由頸椎與頸椎所組成的小面關節之銜接處沒有達到正確的排列位置,進而導致此關節所負責之動作方向角度產生受限、週邊肌肉神經筋膜等軟組織產生發炎、不適症狀,即為關節滑脫。
整個頸椎關節在動作上所需的關節空間,任何一個地方能壓迫或拉扯骨骼肌肉及韌帶的地方,都可能造成頸椎滑脫的問題出現。 但是並非要直接影響到關節,有些也能因為影響到神經根,而造成近似關節滑脫的症狀出現,進一步的使頸椎關節滑脫處無法正常運作而有頸部疼痛或無力緊繃等,甚至神經症狀出現的感覺。
常見頸椎滑脫原因
扭傷
拉傷
挫傷
撞傷
摔傷
不正當姿勢下的肌肉發力
肌肉過度緊繃使關節拉扯錯位
某肌肉代償特定肌肉而使關節被拉扯錯位
拉傷
挫傷
撞傷
摔傷
不正當姿勢下的肌肉發力
肌肉過度緊繃使關節拉扯錯位
某肌肉代償特定肌肉而使關節被拉扯錯位
以上原因都可以造成頸椎滑脫或發炎、無力、下肢發麻等,可能其中一種,也可能各種原因同時存在。
建議預約物理治療評估檢查釐清原貌!請點此
建議預約物理治療評估檢查釐清原貌!請點此
頸椎滑脫常見情況
長期維持固定姿勢越久越不舒服,移動身體時較緩解
唯獨特定動作或角度下動作產生疼痛、角度受限,其他動作不會
唯獨特定動作或角度下動作產生疼痛、角度受限,其他動作不會
頸椎滑脫症狀
頸椎滑脫症狀病變通常有以下因壓迫組織而產生之症狀以及關節角度以及關節支配之肌肉力量影響以及該頸椎神經壓迫症狀和滑脫程度分級之四面向演化階段:
第一面向:關節症狀感受由輕到重,並且症狀會以加總呈現
角度受限卡住→角度受限並緊繃→角度受限緊繃且痠痛→角度受限緊繃痠痛伴隨鈍痛→角度受限緊繃痠痛多時鈍痛時而刺痛且無力感強烈→(轉定義為半脫位、脫位情況)。
第二面向:關節所搭配肌肉之力量影響由輕到重,以5至0分表現為以下
5分:可以抵抗地心引力,完成所有的關節活動度,抵抗最大的阻力。
4分:可以抵抗地心引力,完成所有的關節活動度,抵抗部分的阻力。
3分:可以抵抗地心引力,完成所有的關節活動度。
2分:在無地心引力的平面上,完成所有的關節活動度。
1分:在無地心引力的平面上,沒有動作,但是可以觸診到肌肉收縮。
0分:沒有動作,肌肉也沒有收縮。
第三面向:神經症狀由輕到重
緊繃→痠→痠痛→鈍痛→刺痛→發麻→灼熱→失去知覺
第四面向:頸椎滑脫程度分級共為四級
第一級為滑脫程度小於25% (可物理治療)
第二級介於25~50% (可物理治療)
第三級介於50~75% (需手術)
第四級高達75~100% (需手術)
頸椎滑脫 會自然好嗎?什麼時候應該去找物理治療師?
休息1~2天並沒有逐漸改善的結果,或恢復到一定程度後持平了,並無法再更進一步恢復的時候。
頸椎滑脫 的高風險要素
姿勢不良 –久坐久站、彎腰駝背、習慣性側睡、肌肉柔軟度不足、運動過度產生代償等等。
結構異常 -頸椎錯位、脊柱側彎、骨折、手術後等等。
其他 老化、循環不良、無規律運動、組織沾黏、疤痕等等。
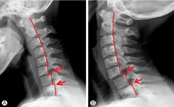
頸椎滑脫位於頸椎小面關節處,而滑脫顧名思義則是骨骼位置向前或向後移動到錯的位置,即姿勢不良、受到撞擊而改變於此關節位置情形者皆屬於高風險族群。
結構異常 -頸椎錯位、脊柱側彎、骨折、手術後等等。
其他 老化、循環不良、無規律運動、組織沾黏、疤痕等等。
頸椎滑脫位於頸椎小面關節處,而滑脫顧名思義則是骨骼位置向前或向後移動到錯的位置,即姿勢不良、受到撞擊而改變於此關節位置情形者皆屬於高風險族群。
頸椎滑脫 的診斷方式有哪些?
診斷的準確度共分三個重點,包含的重點越多越仔細,診斷的準確度就高。此三個重點指常見的門診診程,若能一次到位當然是最準確的。
X光檢查以及常見該神經症狀分布、症狀主述判斷
核磁共振、肌電圖以及電腦斷層、神經傳導檢查
物理治療評估特殊測試、組織特性狀況判斷
核磁共振、肌電圖以及電腦斷層、神經傳導檢查
物理治療評估特殊測試、組織特性狀況判斷
景能物理治療師如何評估及治療
物理治療評估及治療分為三個面向:
身體結構:骨骼、神經肌肉筋膜等是否有位置不正確或者有損傷,必須優先修復,組織沾黏需去除、組織彈性要恢復、循環要良好、關節活動正確。
動作品質:確定受傷的部位所有角度動作情況,肌肉使用方式,不同環境下對動作的影響是否有改變等。
身體素質:肌肉力量是否足以支撐身體使用的需求、肌腱韌帶等是否足夠強韌足以支撐日常身體負荷的需求等。
動作品質:確定受傷的部位所有角度動作情況,肌肉使用方式,不同環境下對動作的影響是否有改變等。
身體素質:肌肉力量是否足以支撐身體使用的需求、肌腱韌帶等是否足夠強韌足以支撐日常身體負荷的需求等。
景能物理治療之宗旨意在於物理學的角度分析人體的功能以及結構的治療科學;使其恢復動作以及結構於理想狀態,流暢、無痛且平衡。
頸椎滑脫該注意什麼才能避免復發
久坐久站記得站起來走動或休息、維持良好姿勢不要彎腰駝背與烏龜脖、避免側睡習慣和正躺在過高過低的枕頭、多伸展大腿與臀部肌肉群、更換符合工作所需之桌椅、睡覺時的枕頭。
參考資料與文獻
- Rossi A, Parenti G. Cervical spondylolisthesis in mucopolysaccharidosis type II. Neurol Sci. 2023 Jan;44(1):409-410. doi: 10.1007/s10072-022-06357-5. Epub 2022 Aug 25. PMID: 36006554; PMCID: PMC9816237.
- Jiang SD, Jiang LS, Dai LY. Degenerative cervical spondylolisthesis: a systematic review. Int Orthop. 2011 Jun;35(6):869-75. doi: 10.1007/s00264-010-1203-5. Epub 2011 Jan 25. PMID: 21264670; PMCID: PMC3103955.
- Perlman R, Hawes LE. Cervical spondylolisthesis. J Bone Joint Surg Am. 1951 Oct;33-A(4):1012-3. PMID: 14880558.
- Goyal DKC, Stull JD, Divi SN, Mangan JJ, Conaway WK, Foulger L, Nicholson KJ, Kepler CK, Hilibrand AS, Woods BI, Radcliff KE, Greg Anderson D, Kurd MF, Rihn JA, David Kaye I, Vaccaro AR, Schroeder GD. Does Cervical Spondylolisthesis Influence Patient-Reported Outcomes After Anterior Cervical Discectomy and Fusion Surgery? Int J Spine Surg. 2021 Dec;15(6):1161-1166. doi: 10.14444/8147. PMID: 35086873; PMCID: PMC9468965.
- Park MS, Moon SH, Oh JK, Lee HW, Riew KD. Natural History of Cervical Degenerative Spondylolisthesis. Spine (Phila Pa 1976). 2019 Jan 1;44(1):E7-E12. doi: 10.1097/BRS.0000000000002764. PMID: 29952882.
- Kosnik EJ, Johnson JC, Scoles PV, Rossel CW. Cervical spondylolisthesis. Spine (Phila Pa 1976). 1979 May-Jun;4(3):203-5. doi: 10.1097/00007632-197905000-00004. PMID: 472891.
- Alvarez AP, Anderson A, Farhan SD, Lu Y, Lee YP, Oh M, Rosen C, Kiester D, Bhatia N. The Utility of Flexion-Extension Radiographs in Degenerative Cervical Spondylolisthesis. Clin Spine Surg. 2022 Aug 1;35(7):319-322. doi: 10.1097/BSD.0000000000001307. Epub 2022 Mar 10. PMID: 35276718; PMCID: PMC9311460.
- Poggi JJ, Martinez S, Hardaker WT Jr, Richardson WJ. Cervical spondylolysis. J Spinal Disord. 1992 Sep;5(3):349-56. doi: 10.1097/00002517-199209000-00014. PMID: 1520994.