肩關節退化 之定義、原因、症狀、建議、治療 – 松山景能物理治療所

肩關節退化 定義
肩關節退化 由肩胛骨與鎖骨、肱骨所組成的肩關節之銜接處沒有達到正確的排列位置,進而導致此關節所負責之動作方向長年導致磨損或增生骨刺逐漸產生角度產生受限、週邊肌肉神經筋膜等軟組織產生發炎、鈣化、不適症狀,即為肩關節退化。
整個肩關節在動作上所需的,任何一處軟骨磨損進而讓骨骼拉扯肌肉及韌帶的地方,都能造成關節退化的症狀出現。 但是並非要直接影響到肩關節,有些也能因為影響到包覆關節的筋膜,而造成近似關節退化的症狀出現,進一步的使關節無法正常運作而有痛或無力緊繃等感覺。
肩關節退化 原因
老化
磨損
過度使用
長年不正當姿勢下的肌肉發力
長年肌肉過度緊繃使關節拉扯錯位
長年某肌肉代償特定肌肉而使關節被拉扯磨損
磨損
過度使用
長年不正當姿勢下的肌肉發力
長年肌肉過度緊繃使關節拉扯錯位
長年某肌肉代償特定肌肉而使關節被拉扯磨損
以上原因都可以造成肩關節退化或發炎、無力等,可能其中一種,也可能各種原因同時存在。
建議預約物理治療評估檢查釐清原貌!請點此。
建議預約物理治療評估檢查釐清原貌!請點此。
肩關節退化 常見情況
移動身體時產生疼痛,休息時較為緩解
唯獨特定動作或角度下動作產生疼痛、角度受限,其他動作不會
唯獨特定動作或角度下動作產生疼痛、角度受限,其他動作不會
肩關節退化 症狀
肩關節退化 症狀病變通常有以下因壓迫組織而產生之症狀以及關節角度以及關節支配之肌肉力量影響之二面向演化階段:
第一面向:關節症狀感受由輕到重,並且症狀會以加總呈現
角度受限卡住→角度受限並緊繃→角度受限緊繃且痠痛→角度受限緊繃痠痛伴隨鈍痛→角度受限緊繃痠痛多時鈍痛時而刺痛且無力感強烈。
第二面向:膝關節所搭配肌肉之力量影響由輕到重,以5至0分表現為以下:
5分:可以抵抗地心引力,完成所有的關節活動度,抵抗最大的阻力。
4分:可以抵抗地心引力,完成所有的關節活動度,抵抗部分的阻力。
3分:可以抵抗地心引力,完成所有的關節活動度。
2分:在無地心引力的平面上,完成所有的關節活動度。
1分:在無地心引力的平面上,沒有動作,但是可以觸診到肌肉收縮。
0分:沒有動作,肌肉也沒有收縮
肩關節退化 會自然好嗎?什麼時候應該去找物理治療師?
休息1週並沒有逐漸改善的結果,或恢復到一定程度後持平了,並無法再更進一步恢復的時候。
肩關節退化 的高風險要素
姿勢不良 -不正當角度支撐肩部、習慣性側睡壓迫肩膀、肩部肌肉柔軟度不足、運動過度產生代償等等。
結構異常 -肩關節外翻或內翻變形、手術後等等。
其他 -循環不良、無規律運動、組織沾黏、疤痕等等。
肩關節退化位於肩關節軟骨處,而退化錯位顧名思義則是骨骼磨損老化,即過度使用肩關節結構磨損於此關節等情形者皆屬於高風險族群。
結構異常 -肩關節外翻或內翻變形、手術後等等。
其他 -循環不良、無規律運動、組織沾黏、疤痕等等。
肩關節退化位於肩關節軟骨處,而退化錯位顧名思義則是骨骼磨損老化,即過度使用肩關節結構磨損於此關節等情形者皆屬於高風險族群。
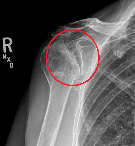
肩關節退化 的診斷方式有哪些?
診斷的準確度共分三個重點,包含的重點越多越仔細,診斷的準確度就高。此三個重點指常見的門診診程,若能一次到位當然是最準確的。
X光檢查以及常見該肌肉力量、動作功能、症狀主述判斷
核磁共振、以及電腦斷層、神經傳導檢查
物理治療評估特殊測試、組織特性狀況判斷
核磁共振、以及電腦斷層、神經傳導檢查
物理治療評估特殊測試、組織特性狀況判斷
景能物理治療師如何評估及治療
物理治療評估及治療分為三個面向:
身體結構:骨骼、神經肌肉筋膜等是否有位置不正確或者有損傷,必須優先修復,組織沾黏需去除、組織彈性要恢復、循環要良好、關節活動正確。
動作品質:確定受傷的部位所有角度動作情況,肌肉使用方式,不同環境下對動作的影響是否有改變等。
身體素質:肌肉力量是否足以支撐身體使用的需求、肌腱韌帶等是否足夠強韌足以支撐日常身體負荷的需求等。
動作品質:確定受傷的部位所有角度動作情況,肌肉使用方式,不同環境下對動作的影響是否有改變等。
身體素質:肌肉力量是否足以支撐身體使用的需求、肌腱韌帶等是否足夠強韌足以支撐日常身體負荷的需求等。
景能物理治療之宗旨意在於物理學的角度分析人體的功能以及結構的治療科學;使其恢復動作以及結構於理想狀態,流暢、無痛且平衡。
肩關節退化 該注意什麼才能避免復發
提升肩關節肌肉量、透過訓練增加關節抗壓力。
參考資料與文獻
- Khazzam MS, Pearl ML. “Management of Glenohumeral Joint Osteoarthritis.” J Am Acad Orthop Surg. 2020 Oct 1;28(19):790-794. DOI: 10.5435/JAAOS-D-20-00405. PMID: 32804699
- Glenohumeral osteoarthritis: an overview of etiology and diagnostics. EFORT Open Rev. 2020 Jul;5(7):456-463. DOI: 10.1302/2058-5241.5.190093. PMID: 32662351
- Pharmacological Treatment in the Management of Glenohumeral Osteoarthritis. J Clin Med. 2022 Jan 14;11(2):393. DOI: 10.3390/jcm11020393. PMID: 35044674
- Non-operative management of shoulder osteoarthritis. EFORT Open Rev. 2023 Jun;8(6):354-362. DOI: 10.1530/EOR-22-0080. PMID: 37321293
- Optimal management of glenohumeral osteoarthritis. Orthop Res Rev. 2018 Feb 14;10:9-18. DOI: 10.2147/ORR.S125415. PMID: 30774456
- Glenohumeral osteoarthritis: overview, therapy, and rehabilitation. J Orthop. 2016 Sep 1;13(4):224-230. DOI: 10.1016/j.jor.2016.07.004. PMID: 27416338
- Arthroscopic Management of Glenohumeral Arthritis. Arthrosc Tech. 2018 Sep 24;7(10):e1021-e1026. DOI: 10.1016/j.eats.2018.05.004. PMID: 30273222
- Degenerative joint disease of the acromioclavicular joint: a review. J Shoulder Elbow Surg. 2013 Jul;22(7):e1-e6. DOI: 10.1016/j.jse.2012.10.029. PMID: 23649008
- Management of glenohumeral arthritis in the young adult. J Am Acad Orthop Surg. 2011 May;19(5):265-274. DOI: 10.5435/00124635-201105000-00006. PMID: 21543679
- Glenohumeral arthritis and its management. J Am Acad Orthop Surg. 2004 May-Jun;12(3):192-201. DOI: 10.5435/00124635-200405000-00006. PMID: 15145425